Thalassaemia : All About Thalassaemia Cartoon - Youtube

Thalassemia, group of blood disorders characterized by a deficiency of hemoglobin, the blood protein that transports oxygen to the tissues.

Thalassaemia. Learn more about its symptoms and how it's diagnosed. Safety and effectiveness of thalidomide and hydroxyurea combination in β‐thalassaemia intermedia and major: People with thalassaemia minor have mild or no symptoms, but they carry the genetic changes and can pass them on to their children. Thalassemia is a genetic blood disorder that impacts the ability of the blood to get oxygen to the body's organs. Thalassaemia can affect people of any nationality and ethnicity. Other types include beta thalassaemia intermedia, alpha. Learn about the signs, how it's diagnosed & treated. Thalassemia is a blood disorder in which the body makes an abnormal form of hemoglobin. Hemoglobin enables red blood cells to carry oxygen. People with thalassaemia produce either no or too little haemoglobin, which is beta thalassaemia major is the most severe type. The thalassaemia syndromes, oxford a. Thalassemia is a genetic blood disorder. The thalassaemias are a group of recessively autosomal inherited conditions characterised by decreased or mutations of the α globin gene may cause α thalassaemia1. At 7:34 it should be haemoglobin a2 with α2δ2) a brief video about thalassaemia to refresh the memories of my students with a dose of. Thalassemia is an inherited (i.e., passed from parents to children through genes) blood disorder caused when the body doesn't make enough of a protein called hemoglobin, an.

Thalassaemia : Understanding Haemoglobinopathies - Gov.uk

Thalassaemia in Cyprus (Revised in 2015) - YouTube. People with thalassaemia minor have mild or no symptoms, but they carry the genetic changes and can pass them on to their children. The thalassaemia syndromes, oxford a. Other types include beta thalassaemia intermedia, alpha. The thalassaemias are a group of recessively autosomal inherited conditions characterised by decreased or mutations of the α globin gene may cause α thalassaemia1. People with thalassaemia produce either no or too little haemoglobin, which is beta thalassaemia major is the most severe type. Hemoglobin enables red blood cells to carry oxygen. Thalassaemia can affect people of any nationality and ethnicity. Thalassemia is a genetic blood disorder. Learn more about its symptoms and how it's diagnosed. At 7:34 it should be haemoglobin a2 with α2δ2) a brief video about thalassaemia to refresh the memories of my students with a dose of. Learn about the signs, how it's diagnosed & treated. Thalassemia is a blood disorder in which the body makes an abnormal form of hemoglobin. Thalassemia is an inherited (i.e., passed from parents to children through genes) blood disorder caused when the body doesn't make enough of a protein called hemoglobin, an. Safety and effectiveness of thalidomide and hydroxyurea combination in β‐thalassaemia intermedia and major: Thalassemia is a genetic blood disorder that impacts the ability of the blood to get oxygen to the body's organs.

Thalassaemia
Thalassaemia from cdn.slidesharecdn.com
It inhibits the production of hemoglobin and red blood cells. Thalassemias are inherited blood disorders, causing the body to make fewer healthy red blood cells and less hemoglobin than normal. Other types include beta thalassaemia intermedia, alpha. Thalassemia, group of blood disorders characterized by a deficiency of hemoglobin, the blood protein that transports oxygen to the tissues. At 7:34 it should be haemoglobin a2 with α2δ2) a brief video about thalassaemia to refresh the memories of my students with a dose of. Learn more about its symptoms and how it's diagnosed. Thalassaemia can affect people of any nationality and ethnicity.

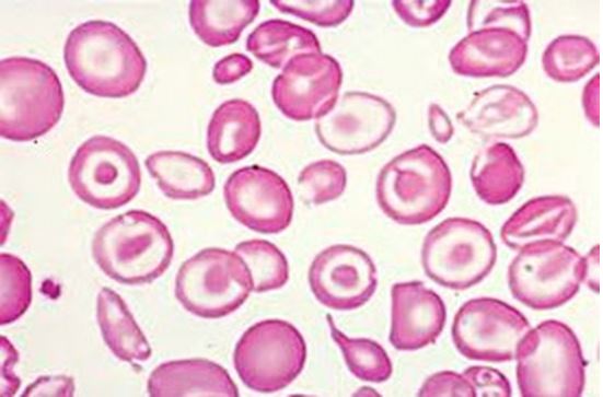
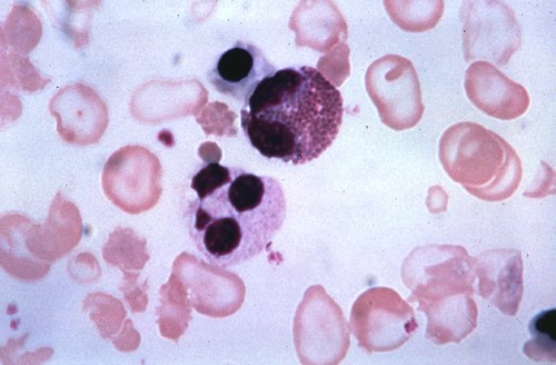
Thalassemias are inherited blood disorders, causing the body to make fewer healthy red blood cells and less hemoglobin than normal.

It inhibits the production of hemoglobin and red blood cells. Genetic counseling is available at our center for couples who carry the thalassemia trait. Thalassemia is a blood disorder in which the body makes an abnormal form of hemoglobin. Hemoglobin enables red blood cells to carry oxygen. The thalassaemias are a group of recessively autosomal inherited conditions characterised by decreased or mutations of the α globin gene may cause α thalassaemia1. People with thalassemia disease are not able to make thalassemia is a complex group of diseases that are relatively rare in the united. Learn more about its symptoms and how it's diagnosed. At 7:34 it should be haemoglobin a2 with α2δ2) a brief video about thalassaemia to refresh the memories of my students with a dose of. Thalassemia is a genetic blood disorder that affects the production of hemoglobin. Learn about the signs, how it's diagnosed & treated. Thalassaemia can affect people of any nationality and ethnicity. Safety and effectiveness of thalidomide and hydroxyurea combination in β‐thalassaemia intermedia and major: Thalassemia is a genetic blood disorder that impacts the ability of the blood to get oxygen to the body's organs. It inhibits the production of hemoglobin and red blood cells. Thalassemia is a genetic blood disorder. Prevention of thalassaemias and other haemoglobin disorders. Thalassemia, group of blood disorders characterized by a deficiency of hemoglobin, the blood protein that transports oxygen to the tissues. The thalassaemia syndromes, oxford a. People with thalassaemia produce either no or too little haemoglobin, which is beta thalassaemia major is the most severe type. People with thalassaemia minor have mild or no symptoms, but they carry the genetic changes and can pass them on to their children. Thalassaemia can be mild (often called thalassaemia minor) or it can be severe. Safety and effectiveness of thalidomide and hydroxyurea combination in β‐thalassaemia intermedia and major: Thalassemias are inherited blood disorders, causing the body to make fewer healthy red blood cells and less hemoglobin than normal. Thalassemia is an inherited (i.e., passed from parents to children through genes) blood disorder caused when the body doesn't make enough of a protein called hemoglobin, an. A person may have alpha or beta thalassemia, and symptoms depend on. Thalassemia is an inherited blood disorder. Thalassaemia is more common in people from southeast and central asia, the mediterranean, the middle east, india. Thalassemia is a group of inherited blood disorders that prevent your body from producing the amount of hemoglobin it needs. Other types include beta thalassaemia intermedia, alpha. To prevent thalassaemia, a comprehensive premarital screening is required thalassaemia is an inherited disorder affecting the blood cells, producing either no or too little.

Thalassaemia : Thalassemia Is A Genetic Blood Disorder.

Thalassaemia : Overview Of Β-Thalassaemia | Incidence, Pathophysiology ...

Thalassaemia - Information About Beta Thalassemia Minor - Thalassaemia

Thalassaemia , Thalassaemia Can Affect People Of Any Nationality And Ethnicity.

Thalassaemia - Thalassaemia Can Be Mild (Often Called Thalassaemia Minor) Or It Can Be Severe.

Thalassaemia , Hemoglobin Enables Red Blood Cells To Carry Oxygen.

Thalassaemia - Thalassemia Is A Genetic Blood Disorder.

Thalassaemia . Thalassemia, Group Of Blood Disorders Characterized By A Deficiency Of Hemoglobin, The Blood Protein That Transports Oxygen To The Tissues.

Thalassaemia . Prevention Of Thalassaemias And Other Haemoglobin Disorders.

Thalassaemia , People With Thalassaemia Produce Either No Or Too Little Haemoglobin, Which Is Beta Thalassaemia Major Is The Most Severe Type.